
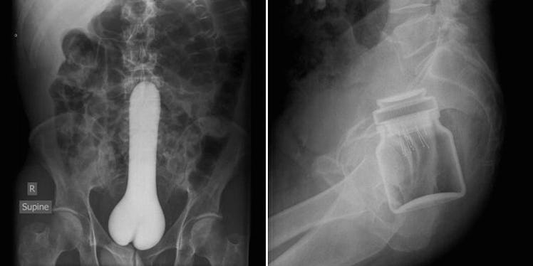
Website Compiles X-Ray Photos Of Weird Things Stuck Up People's Butts
Humans have a storied history of sticking things inside them for pleasure, and if you've ever wanted to know why so many products come with a label that reads "FOR EXTERNAL USE ONLY," you've just found your answer.
If you made it all the way through the first "Jackass" movie, then you already know how entertaining it can be to look at an x-ray of something stuck inside a person's butt that isn't supposed to be there.
In that specific case, that "something" was a toy car and the butt belonged to Ryan Dunn, but he was far from the first (or the last) person to visit a radiologist after a foreign object decided to make itself at home in a rectum.
Gizmodo turned me on to Radiopedia, which features a number of x-rays of various diseases and injuries submitted by doctors around the world, and yes, they do have a section devoted exclusively to scans of stuff stuck inside people's butts (or "rectal foreign bodies" if we're being professional).
These are the best cautionary tales.